Skip to main content
NaslovnaBlogMogu li ja imati ljepši osmijeh?

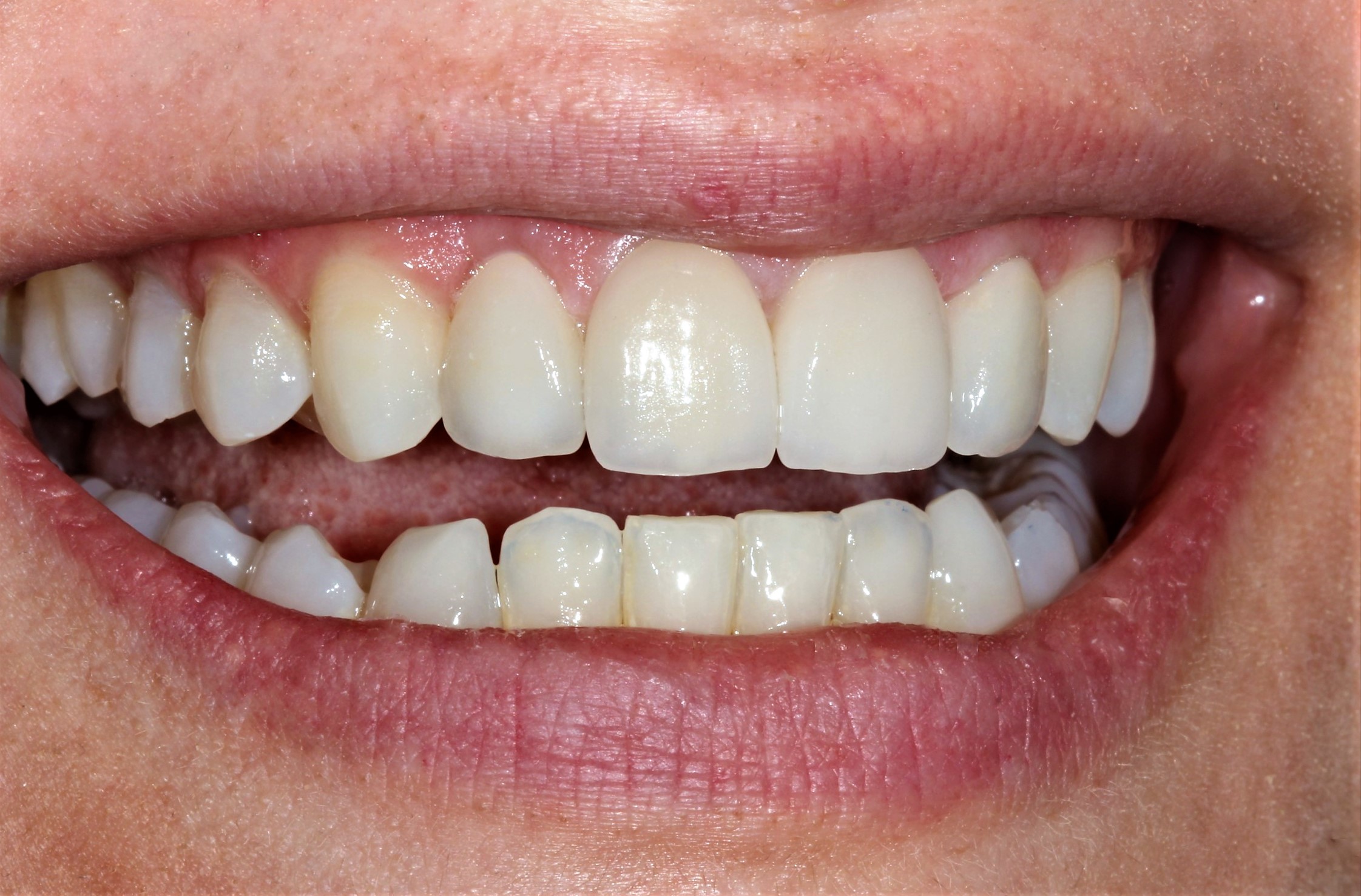
Današnja stomatologija nije se razvila samo u smislu očuvanja zubi i zdravog parodonta, već se velikim dijelom usmjerila i ka savršenoj estetici osmijehaEndodontski zahvati koji se izvode suvremenim aparatima Reciproc i Protaper omogućuju gotovo 100% izliječenje zuba, čime se izbjegava vađenje. Novi materijali, koji uključuju čvrste i trajne kompozitne (estetske) ispunekeramičke i cirkonske krunice garantiraju trajnost.

S druge strane, eventualni gubitak svakog pojedinog zuba može se nadoknaditi implantatima. U kreiranju zdravog i dugovječnog osmijeha veoma je važno pristupiti pacijentu uzevši u obzir njegov sveukupni dojam. Ukoliko su zubi tamni, stomatolog može preporučiti izbjeljivanje, no ako su pritom i zbijeni, razmatra se ravnanje zubi nekom od jednostavnih estetskih ortodontskih metoda, poput Six Month SmilesaInman Alignera ili ClearSmile Alignera. Loši, istrošeni ispuni mogu se zamijeniti novim, a zubi koji nedostaju nadomještaju se keramičkim mostovima, pri čemu se pazi da svaki zahvat bude izveden na minimalno invazivan način. Današnje metode i materijali omogućuju individualno kreiranje osmijeha prema željama pacijenta uz savjet i analizu od strane stručnih doktora dentalne medicine.

Ljepota i privlačnost osmijeha danas je pristupačna svima, a ponekad mali zahvati mogu doprinijeti drastičnoj promjeni. Važno je da pacijent izabere stomatologa s kojim se “klikne” i kojem vjeruje. Stomatolog će kroz dobru komunikaciju objasniti svaki od zahvata i zajedno s pacijentom kreirati – wow osmijeh!