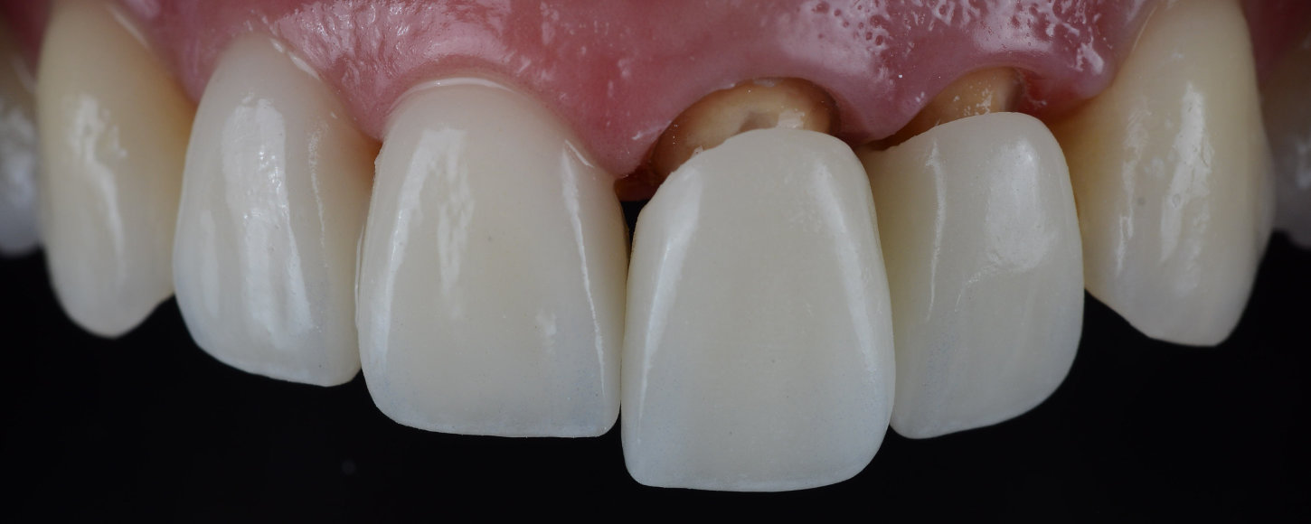
Cirkonske krunice
Pune cirkonske krunice predstavljaju suvremenu, bezmetalnu alternativu metalkeramičkim krunicama. Izrađene od višeslojnog cirkona – snažnog i otpornog kristala – pružaju vrhunsku estetiku i dugotrajnost. Zahvaljujući visokoj biokompatibilnosti, materijal se brzo i bez problema prilagođava tkivima u ustima.
Prednosti cirkonskih krunica:
-
Potpuno bezmetalan materijal – siguran za osobe s alergijama
-
Iznimna čvrstoća i otpornost (pogodno i kod bruksizma)
-
Prirodna boja i translucencija slična caklini
-
Dugotrajnost i minimalno trošenje materijala
Kada preporučujemo cirkonske krunice:
-
Zaštita zuba nakon endodontskog liječenja
-
Nadogradnja na implantate
-
Rekonstrukcija oštećenih zuba ili zuba s velikim ispunima
Cirkonski mostovi
Cirkonski mostovi izrađeni su od istog materijala kao i pune krunice, ali služe za nadomještanje jednog ili više nedostajućih zuba u nizu. Zahvaljujući CAD/CAM tehnologiji, mostovi savršeno prianjaju, a estetski i funkcionalno su gotovo neprimjetni u odnosu na prirodne zube.
Prednosti cirkonskih mostova:
-
Prirodna estetika i visoka prozirnost materijala
-
Bezmetalna konstrukcija – nema sivih rubova na prijelazu prema zubnom mesu
-
Izdržljivost i otpornost na pucanje
-
Minimalno brušenje potpornih zuba
Kada preporučujemo cirkonske mostove:
-
Kada nedostaje jedan ili više zuba u nizu
-
Kada pacijent želi estetsko i dugotrajno rješenje bez metala
-
Kod obnove osmijeha (Smile Makeover)
Savjet stručnjaka: Redovita kontrola svakih 6-12 mjeseci i pravilna oralna higijena značajno produžuju vijek trajanja cirkonskih krunica i mostova.
