Dentalna protetika je ključna grana stomatologije koja se bavi obnovom funkcije, oblika i estetike zuba i čeljusti. Kroz postupke poput izrade krunica, mostova, totalnih i parcijalnih proteza te implantoprotetike, pacijentima vraćamo osmijeh, samopouzdanje i potpunu funkcionalnost zagriza.
U ordinaciji Sanja Vuić – Dentalna protetika Zagreb, posvećeni smo izradi vrhunskih protetičkih rješenja prilagođenih individualnim potrebama i željama svakog pacijenta. Naš pristup spaja preciznost izrade, vrhunsku estetiku i dugotrajnu funkcionalnost kako bismo osigurali savršen osmijeh i udobnost u svakodnevnom životu.
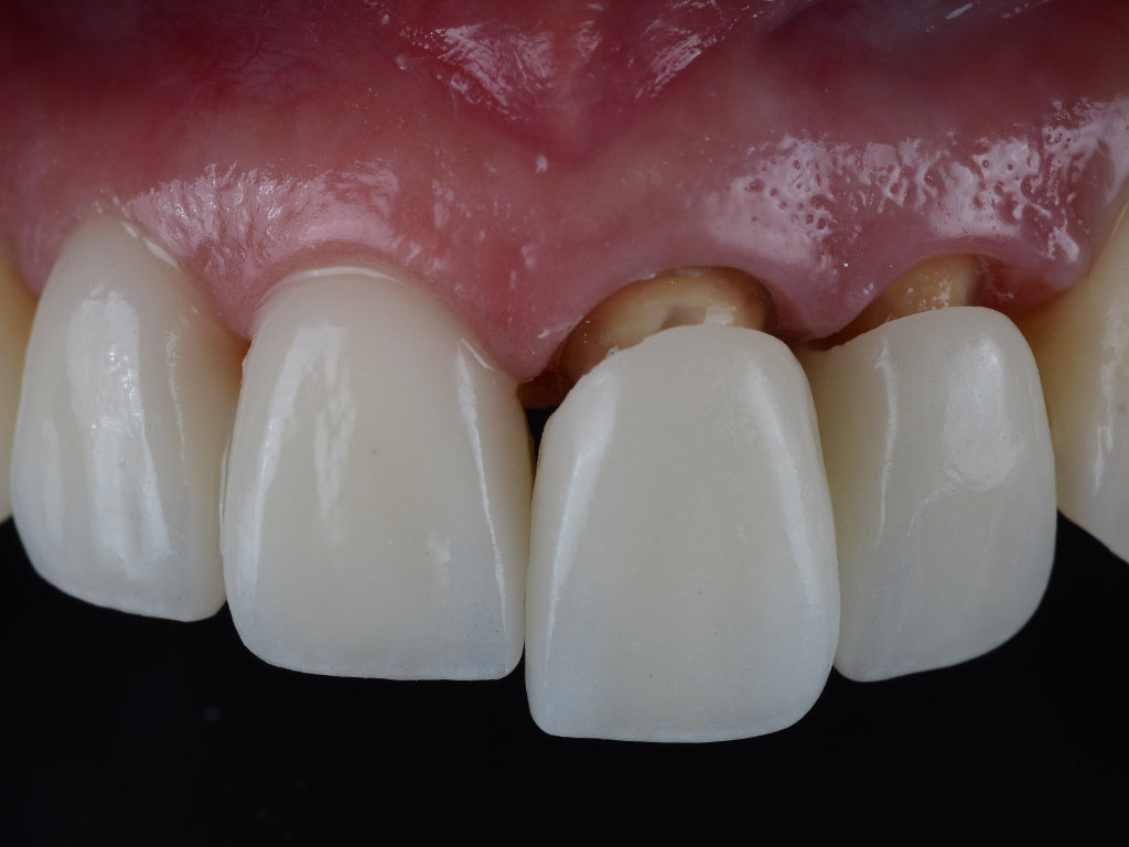
Koristimo najsuvremenije materijale i tehnologije, uključujući cirkonske i E-max krunice, digitalno planiranje te suradnju s vrhunskim dentalnim laboratorijima. Bez obzira trebate li estetsku nadogradnju ili potpunu rehabilitaciju osmijeha, naši protetički radovi pružaju prirodan izgled i dug vijek trajanja.
