Six month smiles vrsta je estetske ortodontske terapije, izrazito popularna u SAD-u i Velikoj Britaniji. Glavne prednosti ovog aparatića su prozirne estetske bravice i žica u boji zuba, kao i kratko vrijeme trajanje terapije.
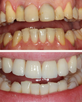
Inman Aligner je revolucionarni aparatić za ispravljanje zuba u predjelu fronte kod odraslih…
Inman Aligner je revolucionarni aparatić za ispravljanje zuba u predjelu fronte kod odraslih…
Inman Aligner je revolucionarni aparatić za ispravljanje zuba u predjelu fronte kod odraslih…
Inman Aligner je revolucionarni aparatić za ispravljanje zuba u predjelu fronte kod odraslih…




