Laser (Light Amplification by stimulated Emission of Radiation) mehanička je naprava koja stvara zraku svjetla, odnosno elektromagnetsku energiju vidljivog ili nevidljivog dijela spektra.
Laser (Light Amplification by stimulated Emission of Radiation) mehanička je naprava koja stvara zraku svjetla, odnosno elektromagnetsku energiju vidljivog ili nevidljivog dijela spektra.
Neuromodulator se može koristiti u svim onim situacijama kada želimo umanjiti aktivnost mišića blokirajući prijenos živčanih impulsa.
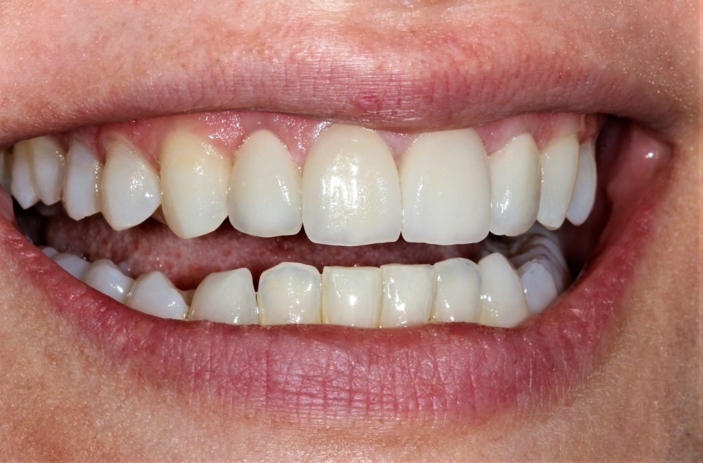
Svaka ortodontska terapija, bila ona fiksna ili mobilna, zahtijeva pažnju i posvećenost pacijenta. Nakon njezinog uspješnog privođenja kraju, pacijent nagrađen je onim što je oduvijek priželjkivao – lijep i pravilan osmijeh!
Današnja stomatologija nije se razvila samo u smislu očuvanja zubi i zdravog parodonta, već se velikim dijelom usmjerila i ka savršenoj estetici osmijeha.
Zub može biti bolan na više načina, od kojih svaki upućuje na različit uzrok i metodu liječenja. Pacijentima koji tijekom ljetovanja iskuse neke od najčešćih dentalnih problema, donosimo kratki vodič pri prepoznavanju uzroka i suzbijanju boli zuba.
Ortodoncija za odrasle je ispravljanje zubi nakon 16-te godine kada je rast korijena zuba završen. Danas suvremena stomatologija nudi brojne metode ispravljanja položaja zubi u relativno kratkom vremenu i naziva se još Estetska ortodoncija, Kratkoročna ortodoncija (STO- short therm ortho).
Senzualna usta idealnih proporcija danas su praktički svima dostupna. U ordinaciji dentalne medicine često nakon završenog stomatološkog rada; ravnanja zubi, izbjeljivanja zubi ili ljuskica za zube trebamo onu “višnju na torti” a to su lijepe usnice.
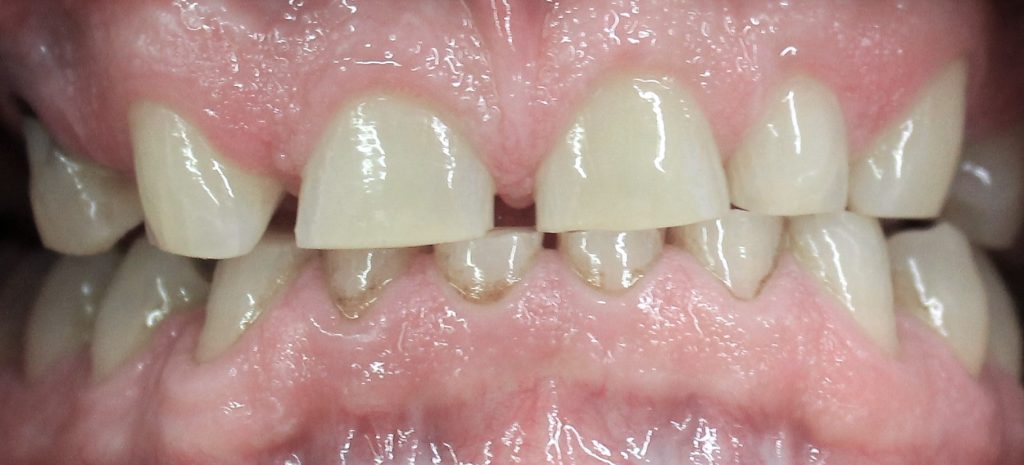
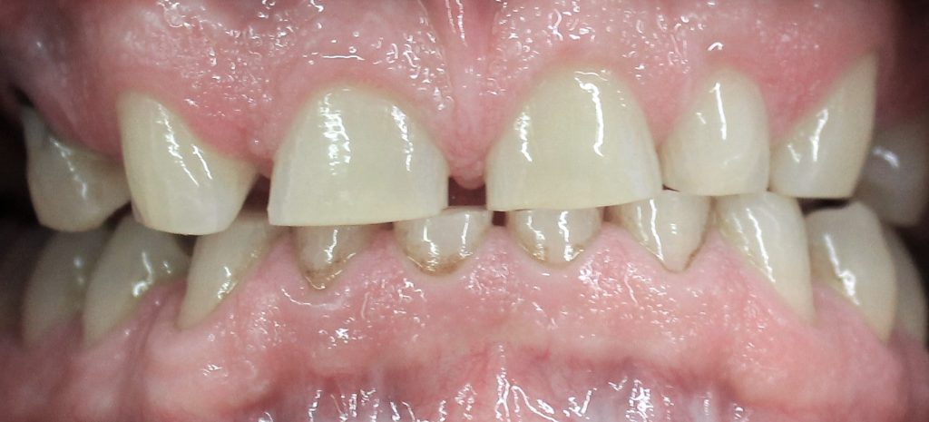
Pretjerano trošenje zubi, najčešće kao posljedica bruksizma (noćnog škripanja) nalazi se, prema nekim istraživanjima, kod oko 8% populacije (Sleep related movement disorder).
Inman Aligner je revolucionarni aparatić za ispravljanje zuba u predjelu fronte kod odraslih…
Inman Aligner je revolucionarni aparatić za ispravljanje zuba u predjelu fronte kod odraslih pacijenata kojim se već nakon…