Zub može biti bolan na više načina, od kojih svaki upućuje na različit uzrok i metodu liječenja. Pacijentima koji tijekom ljetovanja iskuse neke od najčešćih dentalnih problema, donosimo kratki vodič pri prepoznavanju uzroka i suzbijanju boli zuba.
Bol na zagriz
a) Parodontni džep – Nastaje uslijed nakupljanja bakterija koje uzrokuju upalu zubnog mesa oko zuba.
Samopomoć – adekvatno četkanje kružnim pokretom (četkica napola položena na zub, a napola na zubno meso), korištenje interdentalne četkice, paste za zube Parodontax i Listerinea. Ukoliko se bol ne ublaži, posjetite stomatologa.
b) Nekroza živca – Situacija u kojoj inficirani sadržaj odumrlog živca prelazi preko vrha korijena zuba i uzrokuje pritisak koji stvara bol, a dodatno se pojačava prilikom zagriza.
Samopomoć – izbjegavanje žvakanja na tu stranu i uzimanje analgetika. Ipak, potrebno je hitno posjetiti stomatologa koji će otvoriti zub i započeti liječenje!
Bol na hladno/toplo
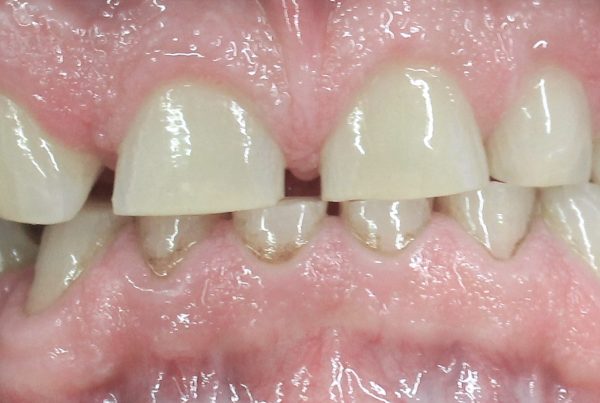
a) Ogoljeli zubni vrat – Povlačenje zubnog mesa ili odlamanje cakline uslijed nepravilne tehnike četkanja ili bruksizma (škripanje zubima).
Samopomoć – kod manje dentinske izloženosti, pacijent si u potpunosti može pomoći pravilnim četkanjem i korištenjem paste za desenzibilizaciju. Ukoliko se bol nastavi, posjetite stomatologa (potrebno prekrivanje izloženog dentina kompozitom.
b) Pulpitis – Uzrok je upaljen živac i zub je potrebno liječiti.
Samopomoć – simptome za prvu ruku možete pokušati ublažiti toplim ili hladnim oblozima (ovisi o vrsti upale), kao i analgeticima. Pulpitis neće proći sam od sebe, tako da je svakako potrebno kontaktirati stomatologa.

Bol na slatko
a) Karijes – Zbog otvorenih dentinskih kanalića koji svojim živčanim završecima reagiraju na slatko, hladno, itd., reakcija zuba na slatko najčešće upućuje na prisustvo karijesa.
Samopomoć – do posjeta stomatologu izbjegavajte žvakati na osjetljivu stranu.
b) Ogoljeli zubni vrat – Povlačenje zubnog mesa ili odlamanje cakline uslijed nepravilne tehnike četkanja ili bruksizma (škripanje zubima).
Samopomoć – kod manje dentinske izloženosti, pacijent si u potpunosti može pomoći pravilnim četkanjem i korištenjem paste za desenzibilizaciju. Ukoliko se bol nastavi, posjetite stomatologa (potrebno prekrivanje izloženog dentina kompozitom.
Puknuti zub ili odlomljeni ispun
Puknuti zub u pojedinim slučajevima, poput duboke frakture ili “urezivanja” fragmenta u okolno tkivo, može biti bolan. Oštri komadić zuba može iritirati jezik ili okolna tkiva. Kako bi se sanirala šteta i spriječila daljnja fraktura ili upala, potrebno je posjetiti stomatologa.
Bolno, otečeno zubno meso oko zuba
Može se javiti zbog neadekvatne higijene, nakupljanja ostataka hrane ili krivo ispoliranih ispuna.
Samopomoć – pravilno četkanje zuba kružnim pokretima, interdentalno čišćenje i korištenje paste Parodontax u nekim slučajevima mogu potpuno sanirati oteklinu.
Oticanje dijela lica
Uzrok oticanju čitavog dijela lica najčešće je širenje upale iz parodontnog džepa ili inficiranih korijenskih kanala. Oticanje lica predstavlja hitno stanje koje zahtijeva posjet stomatologu u što kraćem roku. Ono je definitivno simptom koji će većinu ljudi dovesti u ordinaciju, a klinička mu slika može biti poprilično dramatična. Također može je opasno za opće zdravlje jer se putem krvi šire mikroorganizmi koji uzrokuju upalu pa mogu izazvati ozbiljne komplikacije opasne po život (encefalitis, meningitis, sinusitis i sl.).
Samopomoć – upalu je potrebno što prije spriječiti uzimanjem antibiotika, stoga pokušajte kontaktirati stomatologa ili liječnika da vam izda recept.
Bol tijekom ortodontske terapije
Slaba do umjerena bol netom nakon postavljanja fiksnog aparatića je uobičajena. Preporuča se u početku jesti mekšu hranu i postepeno prelaziti na tvrđu. Takva bol traje do mjesec dana, a u tom razdoblju si možete pomoći malim dozama analgetika. Bol se može javiti i zbog:
a) Iritacije sluznice obraza i usana žicom i bravicama – uobičajeno je za prva 2 tjedna terapije. Na žicu ili bravicu koja žulja stavite malo ortodontskog voska koji vam je dao ortodont ili stomatolog.
b) Odlijepljena bravica ili žica koja strši – ako se bravica samo odlijepila i ne iritira sluznicu, možete pričekati do sljedećeg redovnog termina. Ako žica strši, posjetite ortodonta ili stomatologa.



